
Az anyagcsere átállítása: a rák Achilles-sarka
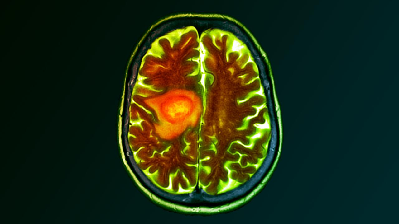
A Michigani Egyetem kutatói kimutatták, hogy a glioblasztóma sejtjei teljesen átalakítják saját energiaellátó rendszereiket. Míg az egészséges agysejtek a cukorból nemcsak üzemanyagot, hanem szerin nevű aminosavat is előállítanak – ami elengedhetetlen az idegi ingerületátvitelhez –, a tumorsejtek ezt a folyamatot elvetik. Ezek a daganatos sejtek a cukrot szinte kizárólag nukleotidok – vagyis a DNS építőelemei – előállítására fordítják, így biztosítják saját osztódásukat és javítják önmagukat, amikor például a sugárkezelés károsítja a DNS-üket.
Egy váratlan gyenge láncszem: a szerinfogyasztás
Lényeges szempont, hogy a tumorsejtek a növekedéshez szükséges szerint már nem maguk állítják elő, hanem a környezetükből gyűjtik be – vagyis részben az egészséges agysejtektől veszik el. A kutatók ezt a felfedezést kihasználva laboratóriumi egereknél drasztikusan csökkentett szerintartalmú diétát alkalmaztak. Ez arra kényszerítette a daganatot, hogy újra maga kezdje előállítani a szerint, így pedig kevesebb energiája maradt a nukleotidok termelésére, vagyis csökkent a tumor védekezőképessége a kezelésekkel szemben.
Emberre is átültethető lehet
A vizsgálatban a kutatók nemcsak egérkísérletekre támaszkodtak, hanem agyműtétre váró rákos betegeknél is speciális, izotóppal jelölt glükózt adtak a pácienseknek, majd az eltávolított daganatos és egészséges szövetek anyagcseréjét elemezték. Az új étrend hatékonysága azonban csak akkor várható, ha a tumorsejtek éppen ebben az átállított anyagcsere-állapotban vannak. Az átmeneti hatékonyság oka, hogy a glioblasztóma sejtjei is rendkívül gyorsan alkalmazkodhatnak, és alternatív tápanyagforrásokat kereshetnek.
A jövőbeli vizsgálatok során ezt az étrendi kiegészítést várhatóan szerinmentes fehérjeturmixokkal kombinálják. Ennek fényében, ha sikerül időben elcsípni a megfelelő anyagcsere-fázist, a daganat jelentősen sérülékenyebbé válhat a sugárkezeléssel és a kemoterápiával szemben.
Új lehetőségek egy halálos kór kezelésében
Wahl professzor már elindította a vizsgálatok következő, emberi kísérletekre koncentráló fázisát. Ugyanakkor felhívja a figyelmet arra, hogy a már amúgy is kimerítő rákkezelésekhez egy szigorú diéta betartása komoly logisztikai és pszichés kihívást is jelenthet sok beteg számára, különösen a napi sugárkezelés és kemoterápia mellett.
A kutatásban alkalmazott izotópos vizsgálati protokoll lehetővé teszi, hogy személyre szabottan azonosítsák, mely daganatok állítanak elő szerint glükózból, és melyek veszik fel azt a környezetből. Ez segítheti a jövőbeli célzott étrendi beavatkozásokat, illetve további módosításokra is lehetőséget adhat. Lényeges szempont, hogy a szerintartalom csökkentése már rövid távon kipróbálható, ám a kutatók szerint ez csak a jéghegy csúcsa: még több, a daganatok számára „végzetes” diétás pont is felfedezésre vár.
Ennek fényében egyre valószínűbb, hogy a különleges diéta a jövőben nemcsak csodafegyver lehet az agydaganat ellen, hanem az egyik legfontosabb kiegészítője lehet a rákterápiáknak.
