2025. 11. 07., 12:01

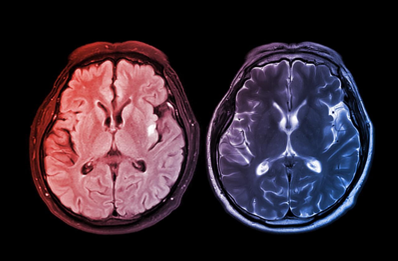
Az agyad öregedhetett a járványtól, ha nem is voltál beteg

Az agyad öregedhetett a járványtól, ha nem is voltál beteg
A járvány hosszú távú hatása nemcsak azokat érinthette, akik elkapták a COVID–19-et. Egy friss brit tanulmány szerint már pusztán a világjárvány miatti stressz, bizonytalanság és izoláció is érezhető nyomot hagyott az agyban.

Az agy is megsínylette a lezárásokat

Kutatók közel ezer egészséges felnőtt MRI-felvételeit elemezték a COVID–19 előtt és alatt. Átlagosan öt és fél hónappal öregebbnek tűntek a résztvevők agyai annál, mint amit a pandémia előtti trendek alapján várni lehetett volna. Egy MI-alapú modell segítségével több száz agyi struktúrát vizsgáltak, és az azonosított elváltozások még azoknál is kimutathatók voltak, akik sosem kapták el a vírust.

A változás nem mindig jelent romlást

Bár az MRI-eredmények szerint gyorsabbá vált az agy öregedése, a feldolgozási sebesség és a problémamegoldó képesség nem mindenkinél gyengült észrevehetően. A szerkezeti változások tehát nem azonnal vezetnek kognitív hanyatláshoz.

Mi állhat a háttérben?

A kutatók szerint maga a fertőzés is okozhat tartós agyi elváltozásokat, ám legalább ilyen fontos tényező lehet a járványhelyzet okozta stressz, magány és gyász is. Ezek mind hozzájárulhatnak az agy változásaihoz.


Így védd az agyad

Az agyad egészségéért sokat tehetsz: mozogj rendszeresen, pihend ki magad, kapcsolódj másokhoz, és figyelj a helyes táplálkozásra. Ha még nem tetted, oltasd be magad – mert a COVID–19-fertőzés továbbra is tartós kockázatot jelenthet az agyműködésre. Az elmúlt évek mindenkit megviseltek, de az agyadnak a törődésből sosem elég.

2025, adrienne, www.scientificamerican.com alapján

Legfrissebb posztok

péntek 21:55

A szendvicsmolekulák titokzatos, rejtett állapota

Az 1950-es évek óta fontos szerepet töltenek be a metallocének a fémorganikus kémia világában...

péntek 21:45

A Subnautica 2 hátborzongató lenne, ha végre csendben maradna

🦈 A Subnautica 2 bemutatja, milyen is az, amikor valaki igazán egyedül marad egy idegen világban...

péntek 21:34

A világ legősibb sziklarajza 67 800 éves? Inog a bizonyíték?

Fontos kérdés, hogy mennyire megbízhatóak azok az eredmények, amelyek szerint a világ legősibb barlangrajzainak kora akár 67 800 év...

péntek 21:22

Péntek estére gyengül a bitcoin, Warsh átveszi a Fed irányítását

📈 Ez a jelenség jól illusztrálható azzal, hogy péntek délután a kriptodevizák árfolyama csendben csúszik lefelé, miközben a tőzsdék egyelőre kitartanak...

péntek 21:12

Az Einstein–Rosen-híd felfedheti az idő rejtett tükrét

Felmerül a kérdés, hogy valóban kaput nyit-e Einstein féreglyuka az univerzum különböző pontjai között, vagy inkább egy sokkal izgalmasabb és kevésbé megfogható jelentést hordoz...

péntek 20:56

A Riot új rendszere 2 milliós papírnehezékké teszi a csaló hardvereket

A videojátékosok és a csalók közötti küzdelem új fordulatot vett. A fejlesztők eszköztára egyre bővül, de a csalók is évről évre új módszerekkel próbálkoznak...

péntek 20:23

Az elavult B12-ajánlások az agyadra is veszélyt jelenthetnek

💡 Az időskorúak egészségesnek tűnő B12-vitaminszintje mögött lappanghatnak agyi károsodások és romló gondolkodási képességek...

péntek 20:12

A fókakölykök rejtélyes halála mögött: kannibál fókák a Sable-szigeten

Évtizedeken át rejtély övezte a Sable-sziget fókakölykeit sújtó különös haláleseteket. Az Atlanti-óceán északkeleti részén, Új-Skócia partjaitól nem messze fekvő szigetről folyamatosan jelentettek elpusztult fókakölyköket, testükön hátborzongató, spirális sebekkel...

péntek 19:55

A milliárdosklubban már Messi is Beckham oldalán, Inter Miamival

Érdemes megvizsgálni, hogyan vált Lionel Messi a világ egyik legsikeresebb futballista-befektetőjévé alig három év alatt az Egyesült Államokban...

péntek 19:45

A D&B 642 milliós cégadatbázisát újraépítette az MI-ügynököknek

💻 Közel két évszázados munka eredményeként a Dun & Bradstreet (D&B) kialakított egy hatalmas, világszerte 642 millió céget lefedő üzleti adattárházat...

péntek 19:34

A foci-vb-re készülve ez az 5 tévéfunkció számít

A foci-világbajnokság közeledtével sokan döntenek úgy, hogy érdemes új, nagyobb vagy jobb minőségű tévét beszerezni...

péntek 19:23

Az IREN társalapítója: Az MI-t az infrastruktúra fogja vissza, nem a chipek

A világ MI-fejlesztési láza töretlen, ám a növekedés igazi akadálya már nem a chipek elérhetősége, hanem a fizikai infrastruktúra...

péntek 19:12

Az új Modern Warfare mindent visz: soha nem látott élmény jön

Hivatalosan is visszatér a Modern Warfare-sorozat – az Activision bejelentette, hogy a következő Call of Duty-játék egy meghatározó, új epizód lesz, amelyet az Infinity Ward fejleszt...

péntek 19:01

A nagy fordulat: a marhahús nem növeli a cukorbetegség kockázatát

Az Egyesült Államokban több mint 135 millió felnőtt szenved 2-es típusú cukorbetegségben vagy tartozik a veszélyeztetettek közé...

péntek 18:56

A Spotify új AI-ja engedélyezett, fizetett remixeket és feldolgozásokat generál

Érdemes megvizsgálni, hogy a Spotify egy olyan új eszközt fejleszt, amellyel a felhasználók mesterséges remixeket és feldolgozásokat készíthetnek kedvenc dalaikból...

péntek 18:34

A hétköznapi ételek rejtett rákkeltő vegyszerei leleplezve

Első pillantásra talán egészségesnek tűnik minden, ami a tányérodon van, hiszen figyelsz a napi mozgásra, a kalóriákra, és szívesen válogatsz zöldségekből, gyümölcsökből...

péntek 18:23

A fogyasztói bizalom rekordmélyen májusban, az iráni háború szítja az inflációs félelmeket

Májusban többéves mélypontra zuhant a fogyasztói bizalom, miközben az amerikai–iráni háború és a magas olajárak miatt egyre többen tartanak az árak újabb emelkedésétől...

péntek 16:22

Az Ark Invest négy nap alatt 12,5 millió dollárért Bullish-részvényt vett

Miközben a digitális eszközök árfolyama hetek óta hullámzik, az Ark Invest ismét kihasználta az alkalmat, hogy megerősítse pozícióját a kriptoszektorban...

péntek 16:12

A Microsoft orvosolta az eltűnő Windows 11-asztal gondját: jön a javítás

Az utóbbi hetekben sok Windows 11-felhasználó találkozott különös hibákkal: az asztal teljesen eltűnt, a tálca megfagyott, a Fájlkezelő (File Explorer) vagy a Feladatnézet (Task View) akadozott, vagy éppen egyáltalán nem válaszolt...

péntek 16:01

Az ősi kémiai trükk új üveget hoz: CO2-t és hidrogént fog be

🧠 Az üveggyártás múltjából ismert trükköt a jövő szolgálatába állították a kutatók, akik egy új típusú üveget fejlesztettek ki, amely képes megkötni a szén-dioxidot és a hidrogént...

péntek 15:56

A mesterséges intelligencia gyorsabban ontja a sérülékeny kódot, mint javítani tudnánk

A vállalatok egyre gyakrabban engednek át hibás, ismerten sebezhető kódot az éles rendszerekbe, és mára ez a hozzáállás szinte általánossá vált...

péntek 15:45

A Nereid kilóg a sorból: a James Webb kulcsa a Naprendszerhez

Neptunusz története évmilliárdokkal ezelőtt kezdődött, amikor a bolygó még épp csak kialakult a Naprendszerben...

péntek 15:34

Az MI utoléri az emberi gondolkodást? Kutatók szerint csak mintázatokat magolt.

💡 Bár a tudományos világot megrázta egy tanulmány, amely azt állította, hogy egy haladó nyelvi modell képes az emberi gondolkodás pontos szimulálására, most mindez más megvilágításba került...

péntek 15:23

A Steam Controller töltője állandóan áram alatt – egy érintés is ráz

⚠ A modern vezeték nélküli kontrollerek egyre magasabb árat képviselnek, de az extra költségekért cserébe általában kényelmes töltőrendszert is kínálnak – például a Steam Controller mágneses töltőtalpát...

péntek 15:12

A 11 legjobb hűtőláda a kánikulára, egykori szabadtéri rovat szerkesztőjének ajánlásával

🍺 A nyári kalandokhoz elengedhetetlen egy jó hűtőláda, legyen szó tengerparti kirándulásról, baráti grillezésről vagy parkbeli piknikezésről...

péntek 15:01

A Dune: Awakening szakít az MMO-val – új irányt vesz

🌙 A Dune: Awakening fejlesztői úgy döntöttek, végre tiszta vizet öntenek a pohárba a játékmenet műfaját illetően...

péntek 14:56

Az Ebola tombol: lángokban áll egy kongói egészségügyi központ

Az északkelet-kongói Bunia városa közelében fekvő Rwampara településen helyiek gyújtottak fel egy egészségügyi központot, miután nem engedték, hogy egy elhunyt ismerősük holttestét hazavigyék temetésre...

péntek 14:45

Az altcoin-rotáció felpörög, a Bitcoin sávban ragadt

📈 Lényeges szempont, hogy a kriptopiac legnagyobb sztárjai, a Bitcoin és az Ethereum, gyakorlatilag semmit sem változtak az elmúlt napokban, szűk sávban mozogva...

péntek 14:34

A tudósok áttörése: gyógyszerek és műtét nélkül múlhat az ízületi fájdalom

Lényeges szempont, hogy a mozgással járó ízületi fájdalom a 40 év feletti felnőttek csaknem negyedénél megnehezíti a mindennapokat, és jelentős oka a felnőttkori mozgáskorlátozottságnak...